私の過去の執筆記事が2件ありますので、そちらもご参照下さい。
広島ホームテレビの取材がありました(2017年4月7日)詳しくはこちらの記事をご覧ください。
原因・病態・症状
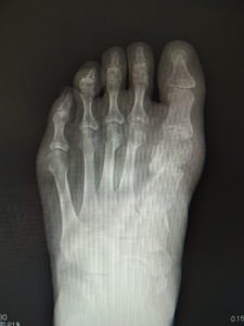
母趾のMP関節(爪から2つ目の関節)で外側に“く”の字状に曲がって、屈曲部が内側に突出してしまう状態です(図1)。
フットアーチ(図2)のバランスが崩れて開張足となり第5趾の内反を伴ってきます。
(図1)
(図2)
縦アーチ(左)と横アーチ(右)
女性の方が、ハイヒールの靴を愛用することが原因になる、とよく言われますが、もちろんそれだけではありません。先天な素因、特にエジプト型の足と呼ばれる、母趾が第2趾より長いことなどが原因となります。
私は歩行の際、つま先から接地して、靴の前足部に足の形が誘導されていくことが、最も大きな原因と考えていて、進行や再発予防のため、踵から接地することを指導しています。また、つま先に余裕があり、足が中で前後に動かない靴を選ぶよう、足を固定するために必要であればアーチサポートの足底板を勧めています。ひも靴であれば、ひもをしっかり目に結べば、足が固定されやすくなります。
外反母趾は、自然経過で治癒に向かうことは稀で、次第に重症化し、突出部の痛みや胼胝で悩まされ、靴が合わなくなって不便な思いをします。また母趾の屈曲、伸展が不自由で、運動が困難になることが苦痛です。
治療
おおむね、外反角が30度以下で症状も軽ければ、対症療法や進行予防などを行い、経過観察します。母趾のじゃんけん運動(図3)やタオルギャザー運動、装具療法(図4)などです。ただ近年は装具療法の限界を感じあまり勧めていません。
(図3)
静止時 開いた時(パーの時)
(図4)
外反母趾用装具
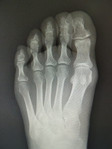
おおむね、外反角が30度以上になると、保存治療はもはやあまり有効ではありません。症状が強く、患者さんと良く吟味の上、希望されれば手術へと進みます。他に根治療法はないが、手術なら根治できます(図5)。ただMP関節の変性性変化があると、痛みや拘縮が残ることがあります。
(図5)
手術前 手術後4年
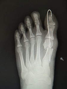
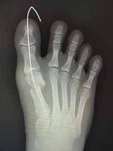
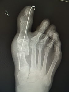
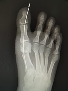
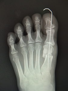
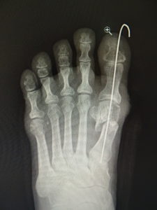
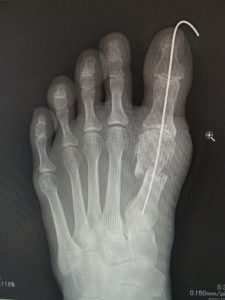
私は、ミッチェル変法ないしハモンド変法を行います(図6,7)。前日入院、腰椎麻酔(当日のみ臥床となります。)で一時間ほどの手術です。中足骨で骨切りを行い、長さも調節(多くはエジプト型足なので幾分短縮します。)しながら向きを矯正し、骨切り部をワイヤーで固定します。母趾内転筋の切離や、母趾外転筋の移行を検討します。中足骨頭部の種子骨を、正しい位置に戻して縫合します。術後は念のため、3週間ほど短いソックス型のギプスを装着しますが、術翌日から歩行訓練などの理学療法を行います。1ヵ月半ほどで骨癒合します。骨癒合が得られなかった症例はありません。2~3か月で普通に靴が履けます。入院期間は相談して決めればよいのですが、最短なら抜糸まで10日間、或いはギプス固定期間の3週間などが目安となります。
最近では、原則として固定ワイヤーは経皮的の一本のみとし、ワイヤーの先端は皮膚の外に出ているので、抜く時(術後3週間目)の患者さんの負担はほぼありません。こうすることによるデメリットはなく、むしろ術後成績は良くなっています。
(図6)
手術前 手術後
(図7)
手術前 手術後
この手術は、人工関節手術などと異なり、何も人工物を体内に残さない、優秀な手術です。罹患以前の状態に戻るという意味で、本来的な根治術といえるでしょう。変形が治るので、靴が履きやすくなり、しっかりリハビリしてMP関節の動きがよくなれば、運動も自由に行えるようになります。
院長掲載記事
手術の様子
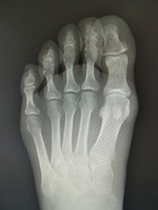
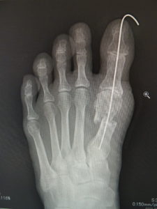
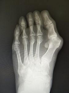
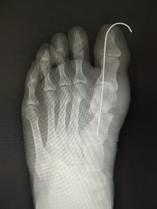
真田理事長による手術の様子。外反母趾|症例 (左から 手術前、手術後、ワイヤ抜去後)


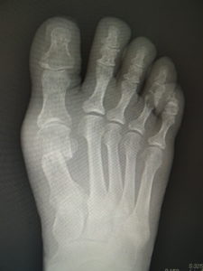
61歳 女性


60歳 男性


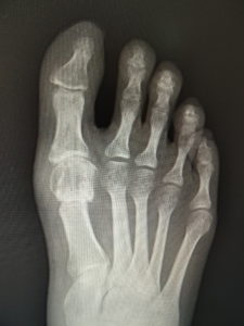
33歳 男性


23歳 女性


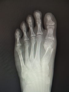
68歳 女性 リウマチ合併 他趾変形あり


22歳 女性


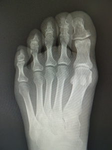
46歳 女性


72歳 女性


74歳 女性


79歳 女性